Пн-Пт с 09:00 до 20:00 Сб с 9:00 до 18:00
Краснодар, ул. 40- летия Победы д. 83, 3 этаж
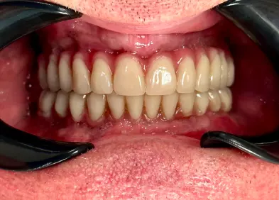
Путь к здоровым зубам начинается здесь.
Профессиональная гигиена полости рта играет важную роль в общем состоянии здоровья человека. Эффективное удаление зубных отложений, профилактика кариеса и пародонтита, а также поддержание свежести дыхания – все это является неотъемлемой частью процедур по уходу за полостью рта.
Профессиональная гигиена предотвращает развитие различных заболеваний полости рта, что в свою очередь оказывает положительное воздействие на общее физическое и психологическое благополучие человека. Регулярные процедуры чистки зубов и десен профессионалами помогают поддерживать здоровье полости рта на должном уровне, предотвращая множество осложнений и проблем.
Оценка состояния полости рта
Процедура начинается с осмотра и оценки состояния полости рта с использованием зеркала и специальных инструментов. Врач обращает внимание на наличие зубного налета, зубного камня, кариеса, воспаления десен и других проблем.
Ультразвуковая чистка
С помощью ультразвукового аппарата врач проводит профессиональную чистку зубов. Ультразвуковые вибрации помогают эффективно удалить зубной налет и камень, не повреждая зубную эмаль.
Полировка зубов
После чистки зубов проводится их полировка. Специальные насадки и пасты помогают сделать зубы гладкими и блестящими, удаляя остатки налета и предотвращая образование нового.
Применение фторидных средств
Для укрепления эмали и профилактики кариеса врач может нанести фторидные препараты на зубы. Это помогает защитить зубы от разрушения и улучшить их общее состояние.
Рекомендации по уходу
В конце процедуры врач дает пациенту рекомендации по уходу за полостью рта дома. Это включает правильную технику чистки зубов, использование зубной нити, выбор подходящих зубных щеток и другие советы по поддержанию здоровья зубов и десен.

Дорогие наши пациенты, мы гордимся тем, что наша стоматология предоставляет надежные и качественные услуги уже многие годы. Доверьте свою улыбку нашей опытной команде и ощутите заботу, комфорт и безупречный результат
Главный врач клиники, врач-стоматолог
Протезирование


















Наши врачи сделают все, чтобы ваш визит в клинику был максимально комфортным и безболезненным
Первичный осмотр и консультация стоматолога
0 руб.
Стаж 13 лет
Главный врач клиники,
стоматолог-ортопед, врач общей практики

Стаж 15 лет
Врач-стоматолог терапевт

Стаж 6 лет
Хирург-стоматолог,
имплантолог

Стаж 19 лет
Детский стоматолог,
врач- терапевт

Стаж 2 года
Врач стоматолог-ортодонт

25 июля
От первой консультации до завершения лечения остались только положительные впечатления. Хочу поблагодарить моего доктора - Переверзева Андрея- за внимательность и бережное отношение.Врач — настоящий профессионал! Действует аккуратно и безболезненно, на протяжении лечения поддерживает, интересуется состоянием. Лечение прошло комфортно, без стресса. Несмотря на повышение цен, мне оставили такую цену, которую обговаривали в самом начале. И один зуб вылечили в подарок, огромное спасибо!Сама клиника современная, чистая, приятная атмосфера. Администраторы вежливые, всегда помогают с записью и отвечают на вопросы.
18 июля
прекрасная клиника, вежливый персонал, приятные врачи, которые всегда на связи и помогут с любой проблемой. ставила имплант в клинике и не пожалела, быстро и аккуратно😊 а главное врачи, которые всегда поддерживали и доходчиво все объясняли ☺️
21 мая
Проходила длительное лечение в клинике Астра, осталась довольная. Клиника очень чистая, приятная атмосфера, врачи - профессионалы своего дела, весь персонал очень внимательный. Администраторам Томе и Лесе спасибо за оперативную работу и хорошее обслуживание.
На осуществление медицинской деятельности




Зубные имплантаты имеют ряд преимуществ по сравнению с другими методами замены зубов, такими как съемные протезы или мосты. Имплантаты обеспечивают стабильность, комфорт и естественный внешний вид зубов, так как они являются фиксированными и интегрируются с челюстной костью. Они также позволяют сохранить здоровые зубы, так как для их установки не требуется обработка соседних зубов под мост или протез.
Качественно установленные зубные имплантаты могут прослужить вам несколько десятилетий. Однако, длительность их использования зависит от нескольких факторов, включая мастерство хирурга, качество конструкции имплантата, а также индивидуальные особенности организма пациента.
Зубные имплантаты требуют особого ухода, так как правильное обращение с ними является важным фактором для обеспечения их долговечности и здоровья полости рта. Наши врачи после установки имплантатов предоставляют ценные рекомендации по правильному уходу, включая регулярную чистку, использование мягкой зубной щетки и специальных препаратов для устранения бактерий.
Пн.- Пт. с 09:00 до 20:00
Сб. с 9:00 до 18:00
Вс. выходной
Краснодар, ул. им 40 - летия Победы д. 83, 3 этаж
Надежная работа
За 10 лет практики мы получили большой опыт и приобрели крепкие деловые связи. Наши клиенты – крупные юридические лица.
Гарантия результата
Гарантируем качественную работу под наблюдением старших юристов. 100 Гарантия а протяжении всего процесса работы над делом.
Ощутимая помощь
За 10 лет практики мы получили большой опыт и приобрели крепкие деловые связи. Наши клиенты – крупные юридические лица.